INTRODUÇÃO
Com a evolução dos materiais restauradores e a valorização crescente da estética, muitos pacientes buscam substituir restaurações metálicas por opções mais naturais. A resina composta, além de sua excelente capacidade adesiva, permite um resultado com excelente integração óptica e reprodução da anatomia dentária. Este relato descreve a substituição de restaurações em amálgama nos dentes 46 e 47 por resina composta, utilizando técnica adesiva direta.
RELATO DE CASO
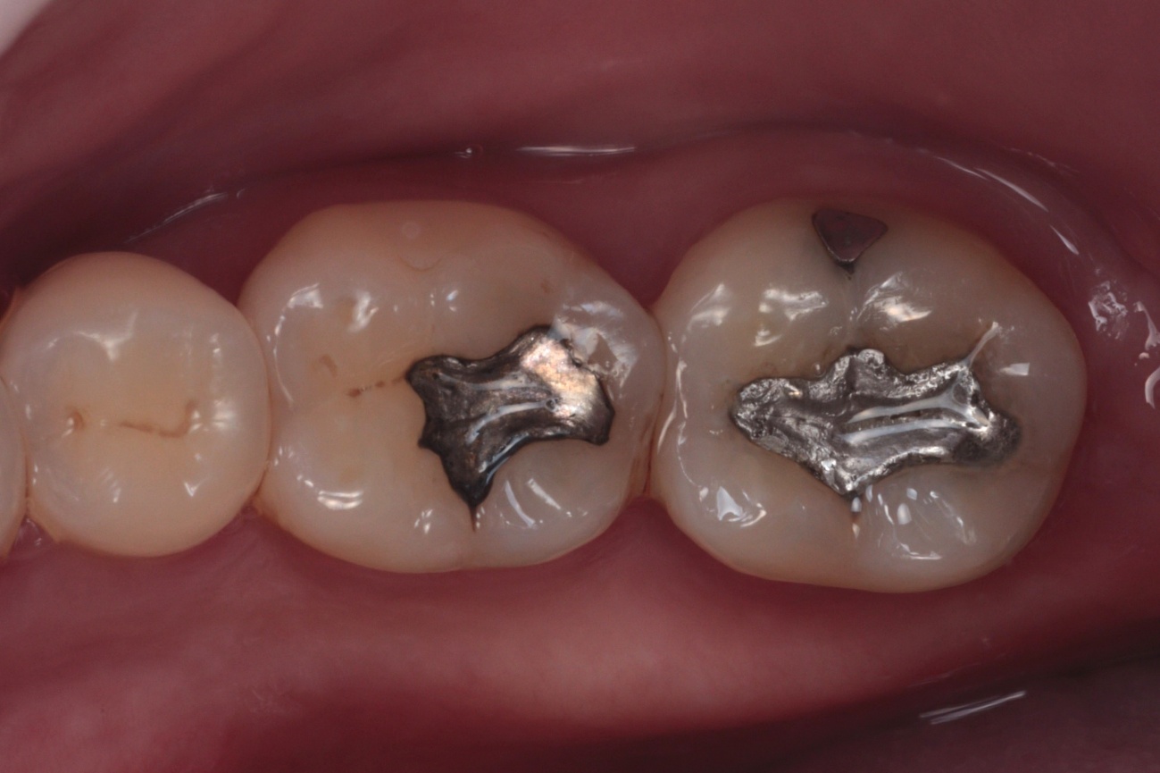
Paciente do sexo feminino, 42 anos, relatou insatisfação com a aparência escurecida de restaurações antigas em amálgama nos dentes 46 e 47. Ao exame clínico, observou-se restaurações metálicas extensas nos dentes posteriores inferiores direitos, sendo classe I no dente 46 e classe V associada à face oclusal no dente 47 (Figura 1).
PROCEDIMENTO CLÍNICO
Após anestesia local, foi realizado o isolamento absoluto da área com lençol de borracha, a fim de garantir um campo seco e livre de contaminação (Figura 2).
As restaurações em amálgama foram cuidadosamente removidas com brocas diamantadas em alta rotação, e a dentina comprometida foi eliminada com broca esférica carbide em baixa rotação. A cavidade foi então limpa com pedra-pomes e água para remoção de resíduos (Figura 3).
Realizou-se o condicionamento seletivo do esmalte com ácido fosfórico a 37% Super Etch (SDI) por 15 segundos, seguido de lavagem abundante e secagem controlada (Figura 4 e Figura 5).
O sistema adesivo universal Zip Bond Universal (SDI) foi aplicado em toda a cavidade, e fotopolimerizado por 20 segundos com o aparelho Radii Xpert (SDI) (Figura 6).
Como primeira camada, utilizou-se a resina fluida Luna Flow cor A2 (SDI) na base da cavidade, promovendo adaptação e proteção da dentina, com posterior fotopolimerização (Figura 7).
A reconstrução das cúspides e das faces oclusais foi realizada com a resina composta Luna 2 cor A2 (SDI), aplicada em incrementos de até 2 mm, seguindo a técnica de construção de cúspide a cúspide (Figura 8).
A morfologia oclusal foi cuidadosamente esculpida, respeitando os sulcos e cristas naturais dos dentes posteriores (Figura 9). Para maior naturalidade, foi aplicada uma fina camada de pigmento marrom nos sulcos principais, simulando caracterizações anatômicas (Figura 10).
O acabamento e polimento iniciais foram realizados com pontas de borracha Espirais e escova de pelo de cabra, promovendo brilho e lisura à superfície (Figura 11). Após a remoção do isolamento, realizou-se o ajuste oclusal dinâmico e estático (Figura 12).
RESULTADO FINAL
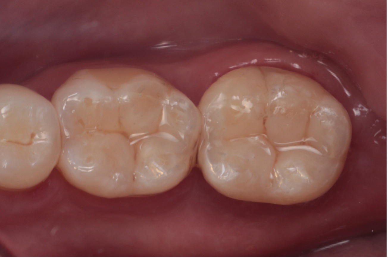
O resultado clínico demonstrou excelente integração estética, funcionalidade adequada e satisfação por parte da paciente (Figura 13).
CONCLUSÃO
A substituição de restaurações em amálgama por resina composta representa uma alternativa segura, previsível e esteticamente favorável. O sucesso do procedimento está relacionado ao correto protocolo adesivo, à seleção adequada dos materiais e à atenção aos detalhes anatômicos durante a escultura e acabamento.

Figura 1 – Fotografia inicial

Figura 2 – Isolamento absoluto

Figura 3 – Remoção do amálgama

Figura 4 – Condicionamento ácido

Figura 5 – Pós lavar e secar

Figura 6 – Sistema adesivo
=

Figura 7 – liner com resina flow

Figura 8 – reconstrução de cuspides

Figura 9 – morfologia oclusal

Figura 10 – pigmento marrom

Figura 11 – acabamento e polimento

Figura 12 – Ajuste oclusal

Figura 13 – Resultado final



