INTRODUÇÃO
As restaurações em amálgama desempenharam um papel importante na odontologia restauradora por muitos anos, principalmente pela sua resistência mecânica e longevidade clínica. Contudo, com os avanços nos materiais restauradores estéticos e a crescente valorização da estética e biocompatibilidade, a resina composta passou a ser uma alternativa amplamente adotada na prática clínica. Atualmente, é cada vez mais comum a substituição de restaurações metálicas por materiais estéticos que oferecem melhor integração cromática e adesão ao tecido dentário.
Neste relato, apresenta-se a substituição de uma restauração em amálgama no dente 27 por uma restauração direta em resina composta.
RELATO DO CASO
Paciente do sexo feminino, 35 anos, procurou atendimento odontológico com insatisfação estética relacionada ao dente 27, devido à presença de uma restauração escurecida em amálgama. Ao exame clínico, constatou-se a presença da restauração metálica em cavidade classe I oclusal (Figura 1), sem sinais clínicos de infiltração ou fratura.
PLANO DE TRATAMENTO
Após avaliação clínica e radiográfica, e considerando os anseios estéticos do paciente, optou-se pela substituição da restauração em amálgama por uma restauração em resina composta. A decisão foi fundamentada nas vantagens do material resinoso, como propriedades adesivas, estética superior e menor desgaste de estrutura dentária saudável.
PROCEDIMENTO CLÍNICO
O procedimento foi iniciado com anestesia local, seguida do isolamento absoluto com lençol de borracha, visando manter o campo operatório seco, livre de contaminantes e com melhor visibilidade para a remoção segura do amálgama (Figura 2).
A remoção da restauração metálica foi realizada com brocas de alta rotação e pontas diamantadas, tomando o devido cuidado para preservar ao máximo a estrutura dental sadia. A dentina amolecida foi removida com broca esférica de carboneto de tungstênio em baixa rotação (Figura 3).
Com a cavidade livre do amálgama, procedeu-se à limpeza com pasta de pedra-pomes e água, a fim de remover resíduos e preparar a superfície dentária para os passos adesivos subsequentes.
O condicionamento ácido foi feito de maneira seletiva ao esmalte, utilizando ácido fosfórico a 37% por 15 segundos. Em seguida, realizou-se a lavagem abundante com água e a secagem controlada da cavidade (Figuras 4 e 5).
Aplicou-se o sistema adesivo universal Zip Bond Universal (SDI), com fotopolimerização por 20 segundos utilizando o aparelho Radii Xpert (SDI) (Figura 6).
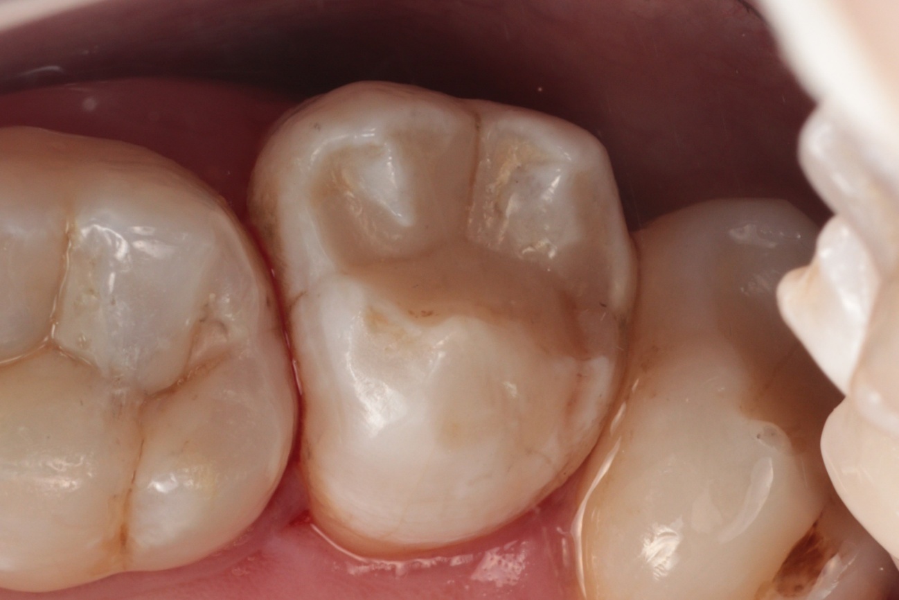
A restauração foi construída com resina composta Luna 2 cor A2 (SDI), aplicada em incrementos de até 2 mm, cada um fotopolimerizado por 20 segundos. A escultura anatômica respeitou a morfologia original do dente, assegurando função e estética adequadas. (Figura 7)
O acabamento e o polimento foram realizados com pontas de borracha espirais e escova de pelo de cabra, proporcionando uma superfície final lisa e brilhante (Figura 8).
CONCLUSÃO
A substituição de restaurações em amálgama com sinais de infiltração marginal por resina composta demonstra ser uma abordagem segura, eficiente e esteticamente superior. Este caso clínico evidencia a importância do diagnóstico criterioso, planejamento individualizado e execução cuidadosa para o sucesso do tratamento restaurador.

Figura 1 – Fotografia inicial

Figura 2 – Isolamento absoluto

Figura 3 – Remoção do amálgama

Figura 4 – Condicionamento ácido

Figura 5 – Pós lavar e secar

Figura 6 – Sistema adesivo

Figura 7 – Morfologia oclusal

Figura 8 – acabamento e polimento





