INTRODUÇÃO
A Trissomia do 21 (T21), conhecida popularmente como Síndrome de Down é uma alteração genética, cromossômica, usualmente ocasionada pela trissomia completa do cromossomo 21 (Laignier et al., 2021). Apresenta uma ampla variedade de manifestações craniofaciais e bucais (Elferadi et al, 2022).
Estudos recentes demonstram que pessoas com T21 apresentam maior prevalência de transtorno do espectro autista (TEA), variando de 2% a 10%, em comparação à população geral (Irving et al., 2021). O TEA por sua vez, trata-se de uma condição do neurodesenvolvimento caracterizada por dificuldades persistentes na interação e comunicação social e por padrões restritos e repetitivos de comportamento, interesses ou atividades (American Psychiatric Association, 2022). Indivíduos com T21 e TEA exibem comportamento atípico manifestado por ansiedade exacerbada, estereotipias e retraimento social quando comparados apenas à T21 (Sultan et al., 2020).
As tentativas de cuidados diários se tornam mais desafiadoras devido a função cognitiva reduzida, hipersensibilidades sensoriais e habilidades motoras limitadas (Sultan et al., 2020). Desta forma, as doenças bucais são frequentes nesta população, devido a dificuldade de higiene bucal, a alimentação mais cariogênica e uso de medicamentos que alteram o fluxo salivar (Elrefadi et al., 2022). Esse cenário é agravado quando associado a dificuldade de encontrar serviços especializados para atendimento odontológico, além dos desafios relacionados ao manejo comportamental durante a consulta (Sami et al., 2023).
Neste cenário, a busca por materiais odontológicos de fácil e rápida aplicação, como as resinas autopolimerizáveis, torna-se essencial para que profissionais especializados consigam garantir a resolução efetiva e duradoura de problemas bucais, como a cárie dentária.
OBJETIVO
Relatar um caso clínico de tratamento restaurador de lesões de cárie em uma paciente com T21 e TEA, utilizando um sistema de resina composta automix STELA – SDI.
RELATO DE CASO
Paciente A.M.S, sexo feminino, 8 anos de idade, não colaboradora, compareceu à clínica escola odontológica, na disciplina de odontologia para pacientes com necessidades específicas (OPNE) da UnB, acompanhada pela mãe com queixa de cárie dentária. A criança apresentava T21 e TEA, sendo que o nível de suporte ainda não foi reportado à família pelos médicos, por tratar-se de um diagnóstico recente, entretanto, a mãe relatou que a criança não é cooperativa com as atividades diárias. Ao exame físico intraoral, observou-se a presença de lesões de cárie ativas, classificadas como Classe II (ocluso-proximal) no primeiro molar decíduo superior direito (dente 54), no segundo molar decíduo superior direito (dente 55), no primeiro molar decíduo inferior direito (dente 84) e no segundo molar decíduo inferior direito (dente 85), sem sinais clínicos ou radiográficos de envolvimento pulpar. O manejo foi realizado por meio de gerenciamento do comportamento associado a estabilização protetora com faixas, sendo autorizado pela responsável para viabilizar os procedimentos. A resina STELA automix (SDI) foi o material de escolha utilizado para o tratamento restaurador.
PROCEDIMENTO CLÍNICO DETALHADO
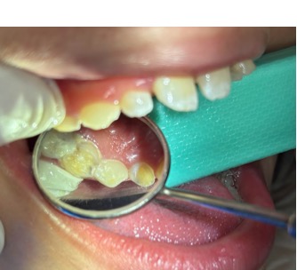
- Profilaxia e Isolamento: Sob estabilização protetora, foi realizada escovação dentária utilizando kit de escovação disponível na clínica. Após a profilaxia, foi realizado inicialmente o isolamento relativo dos dentes 54 e 55, posteriormente dos dentes 84 e 85 (Figuras 1 e 2), sendo crucial para garantir um campo operatório seco e livre de contaminação salivar, sendo as restaurações realizadas por quadrantes.
- Remoção do Tecido Cariado: Foi realizada a remoção seletiva do tecido cariado na cavidade oclusal dos dentes 54, 55, 84 e 85 cuidadosamente com escavador de dentina, seguindo os princípios da odontologia minimamente invasiva.
- Aplicação do Primer: Uma gota do primer, do STELA automix – SDI foi aplicada na cavidade com o microaplicador (POINTS) por 5 segundos.
- Secagem: em seguida, a cavidade foi seca por 3 segundos com jato de ar da seringa tríplice.
- Restauração: A resina composta autopolimerizável STELA automix – SDI (Figura 3) foi utilizada para restaurar as cavidades. A cavidade foi preenchida em uma única etapa até cobrir as margens.
- Acabamento: Após a polimerização completa da resina, em torno de 4 minutos, foi realizado o acabamento e ajuste oclusal, verificado com papel carbono (Figuras 4 e 5).
- 6. Acompanhamento: A mãe recebeu orientações sobre higiene oral e a necessidade de acompanhamento regular.

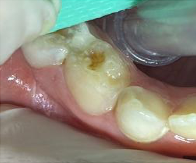
Figura 1: Lesão de cárie interproximal dos elementos dentários 54 e 55

Figura 2: Lesão de cárie interproximal dos elementos dentários 84 e 85


Figura 4: Elementos dentários 54 e 55 restaurados com STELA automix – SDI

Figura 5: Elementos dentários 84 e 85 restaurados com STELA automix – SDI

Figura 6: Elementos dentários 84 e 85 restaurados com STELA automix – SDI
CONCLUSÃO
O tratamento odontológico em pacientes com T21 e TEA frequentemente requer abordagens adaptadas às suas necessidades específicas, incluindo o manejo comportamental e estabilização protetora. Um dos pontos fortes para o sucesso do tratamento, foi a escolha da resina autopolimerizável como material restaurador. A praticidade do sistema Stela AUTOMIX (SDI), com sua polimerização química, simplificou e agilizou o procedimento por ser um material de fácil aplicação e presa rápida, sendo especialmente vantajoso para pacientes com necessidades específicas não colaboradores. Este caso sublinha a importância de um planejamento individualizado, considerando técnicas e materiais que otimizem o atendimento odontológico de pacientes com condições específicas e desafios comportamentais.
REFERÊNCIAS
ALJAMEEL, AlBandary H. et al. Down syndrome and oral health: mothers’ perception on their children’s oral health and its impact. Journal of Patient-Reported Outcomes, [S.l.], v. 4, n. 45, p. 1-8, 2020. Disponível em: https://doi.org/10.1186/s41687-020-00211-y. Acesso em: 15 nov. 2025
American Psychiatric Association. (2022). Diagnostic and statistical manual of mental disorders (5th ed., text rev.). American Psychiatric Publishing.
ELREFADI, Roba et al. Oral health status in individuals with Down syndrome. Libyan Journal of Medicine, [S.l.], v. 17, p. 1-7, 2022.
Irving C, Basu A, Richmond S, Burn J, Wren C. Twenty-year trends in prevalence and survival of Down syndrome. Eur J Hum Genet. 2008 Nov;16(11):1336-40.
LAIGNIER, M.R. et al. Down Syndrome in Brazil – Occurrence and Associated Factors. International Journal of Environmental Research and Public Health, v. 18, n. 22, p.11954, Nov. 2021.
SAMI, W. et al. Oral health statuses of children and young adults with autism spectrum disorder: An umbrella review. Journal of clinical medicine, v. 13, n. 1, Dec. 2023.
SULTAN, A. et al. Co-morbidity of down syndrome with autism spectrum disorder: Dental implications. Journal of Oral Biology and Craniofacial Research, [S.l.], v. 10, p. 146-148, 2020.
