RELATO DE CASO
Paciente compareceu à clínica com restaurações em dentes posteriores 14, 15 e 16 ocluso-proximais desadaptadas e com infiltração marginal, com aproximadamente 20 anos em boca.
Foram removidas as restaurações prévias com pontas diamantadas, seguido do isolamento absoluto para controle do campo operatório e afastamento gengival. Foi realizado o condicionamento de esmalte com o ácido fosfórico Super Etch 37%, que apresenta excelente tixotropia, permitindo que a aplicação do condicionamento seja mais precisa. Em seguida, foi aplicado o Sistema Adesivo ZipBond Universal SDI.
Para o caso, foi escolhida resina composta de esmalte e dentina Luna 2. Após a colocação do sistema de matriz e verificada a adaptação marginal e contato íntimo entre dente e matriz, foi realizada a crista marginal para transformas as cavidades em Classe I e garantir um bom ponto de contato com a resina Luna 2 A2. A resina Luna 2 OA2 foi usada para confeccionar os incrementos de dentina, seguida da Luna 2 A2 para os últimos incrementos oclusais. Por fim, foram realizados o acabamento e polimento.

Fig. 1 Aspecto inicial com as restaurações prévias e com infiltração.

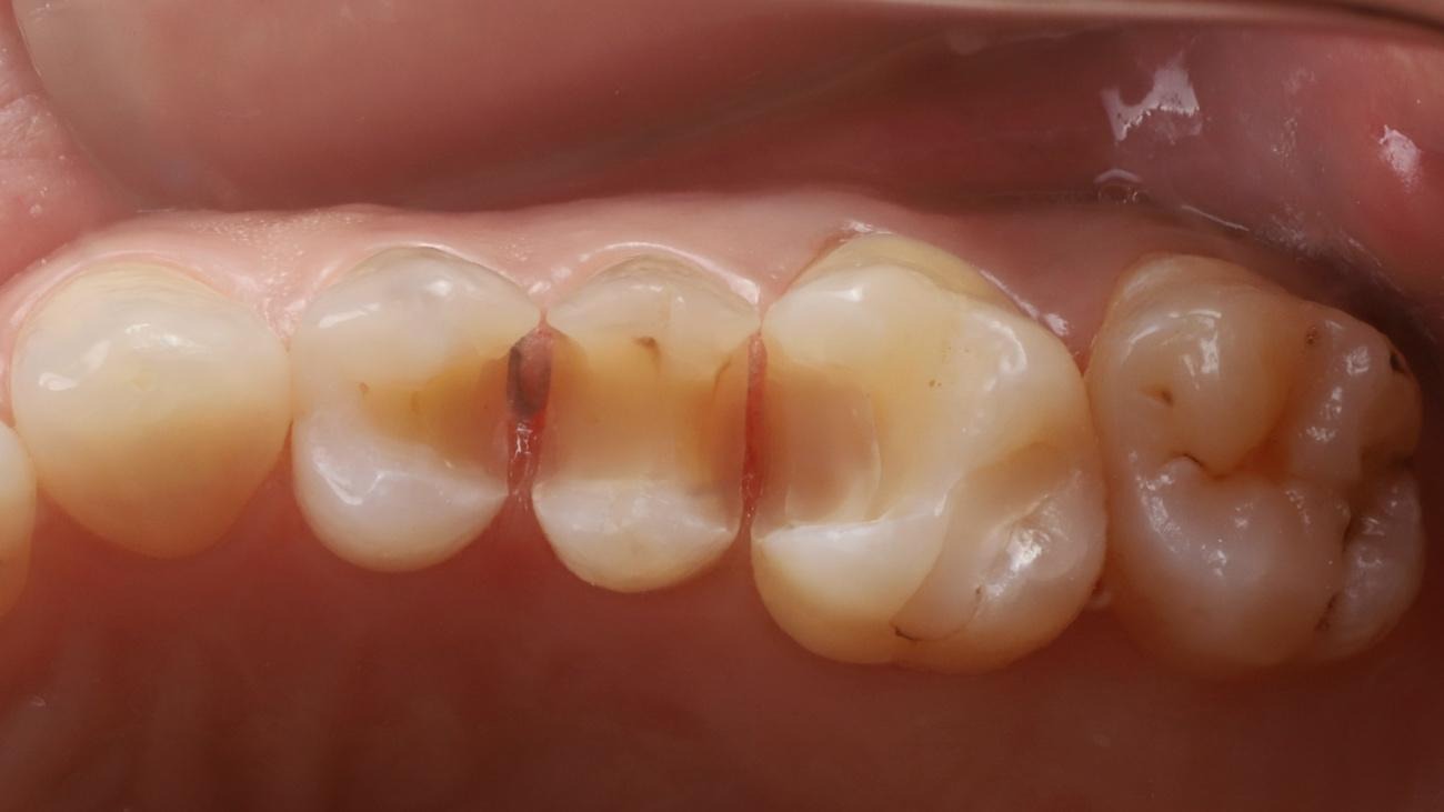
Fig. 2 Aspecto das cavidades após a remoção das restaurações e acabamento das bordas.

Fig. 3 Instalação do isolamento absoluto.

Fig. 4 Condicionamento do ácido fosfórico Super Etch 37%. Acima é possível observar a habilidade ácido de não escoar, e se manter na região em que foi aplicado, aumentando a precisão da técnica.

Fig. 5 Aplicação ativa do Sistema Adesivo ZipBond Universal.

Fig. 6 Fotopolimerização do sistema adesivo com Radii Xpert.

Fig. 7 Instalação do sistema de matriz escolhido.

Fig. 8 e 9 Confecção das cristas marginais com resina Luna 2 A2.

Fig. 8 e 9 Confecção das cristas marginais com resina Luna 2 A2.

Fig. 10 Incrementos de dentina realizados com a resina Luna 2 OA2.

Fig. 11 Confecção dos incrementos de esmalte e anatomia oclusal realizados com a resina Luna 2 A2.

Fig. 12 Aspecto final das restaurações após acabamento e polimento.




