RELATO DO CASO
Paciente do sexo masculino, 26 anos, compareceu ao consultório com insatisfação estética nos dentes anteriores devido ao seu tamanho e presença de diastemas. Após exame clínico e planejamento, optou-se pela gengivoplastia dos incisivos laterais e confecção de facetas em resina composta de canino a canino.
Realizou-se isolamento absoluto e amarrias para melhor controle e visualização do campo operatório, além do uso de matriz metálica sempre que necessário, delimitando os dentes a serem abordados. O condicionamento ácido aplicado neste caso foi com ácido fosfórico 37% Super Etch SDI, garantindo boa adesão nos elementos 13 a 23, também assegurada pelo uso do Adesivo ZipBond Universal SDI. Deu-se início à confecção das facetas, iniciadas pelas conchas palatinas com resina Luna 2 I SDI, estabelecendo a construção dos pontos de contato e da área a ser preenchida. Para garantir uma estrutura íntegra, sem aprisionamento de bolhas, aplicou-se resina Luna Flow LV cor A2 na linha de junção entre dente e concha palatina, a qual foi fotopolimerizada com Radii Xpert. Em seguida, foram estabelecidas as arestas distal e mesial de todos os elementos envolvidos com Luna 2 cor A1, pré estabelecendo a área de espelho. Depois foi aplicada a resina Luna 2 OA2 SDI, criando a camada de dentina necessária e seus efeitos de naturalidade, como os mamelos desenhados. Nessa camada foram acrescentados pigmentos e resina Flow Translucida para unir os mamelos com a borda incisal. Por último, foi aplicada uma camada única de resina Luna 2 cor A1 na vestibular e realizado acabamento e polimento final.

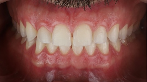
Fig. 1 Aspecto do sorriso inicial, onde fica evidente o tamanho reduzido dos dentes, bem como os diastemas, principalmente entre incisivos centrais e entre laterais e caninos.

Fig. 2 e 3 Diferença do aspecto gengival sobre os incisivos laterais antes e depois da gengivoplastia com uso de bisturi elétrico, garantindo um campo operatório sem sangramento.

Fig. 2 e 3 Diferença do aspecto gengival sobre os incisivos laterais antes e depois da gengivoplastia com uso de bisturi elétrico, garantindo um campo operatório sem sangramento.

Fig. 4 Isolamento absoluto e amarrias instalados.
.

Fig. 5 e 6 Aplicação do ácido fosfórico 37% Super Etch SDI nos elementos anteriores e seu aspecto imediato logo após o condicionamento ácido.

Fig. 5 e 6 Aplicação do ácido fosfórico 37% Super Etch SDI nos elementos anteriores e seu aspecto imediato logo após o condicionamento ácido.

Fig. 7 Aspecto dos elementos submetidos ao adesivo Zipbond Universal SDI, que garante boa adesão da resina a ser estratificada sobre cada dente.

Fig. 8 e 9 Confecção das conchas palatinas com resina Luna 2 I SDI, guiada por matriz palatina previamente planejada.

Fig. 8 e 9 Confecção das conchas palatinas com resina Luna 2 I SDI, guiada por matriz palatina previamente planejada.

Fig. 10 Acomodação de resina Luna Flow LV cor A2 na junção entre dente e concha palatina, evitando o aprisionamento de bolhas nessa região.

Fig. 11 Fotopolimerização com fotopolimerizador Radii Xpert SDI, que garante boa polimerização e consequentemente, boa duração da resina composta em cada camada aplicada.

Fig. 12 Construção das arestas distal e mesial dos elementos 13 ao 23, estabelecendo os pontos de contato e pré conformando as áreas de espelho a serem estratificadas.

Fig. 13 Incremento de resina composta Luna 2 OA2 SDI, afim de obter uma camada de dentina detalhada e que se une naturalmente à dentina original.

Fig. 14 Acomodação de resina Flow Translucida sobre a camada de dentina, para uni-lá à borda incisal, evitando a incorporação de bolhas. Nessa etapa também trabalhou-se com pigmentos, criando um aspecto mais natural para o resultado final.

Fig. 15 Aspecto após assentamento de camada única de resina Luna 2 cor A1, finalizando a estratificação dos elementos com a camada de esmalte.

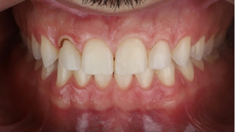
Fig. 16 e 17 Resultado final do sorriso transformado, após o devido acabamento e polimento final. Nota-se a melhora estética em relação ao início do tratamento, devido à regularização do tamanho dos dentes e fechamento de diastemas.

Fig. 16 e 17 Resultado final do sorriso transformado, após o devido acabamento e polimento final. Nota-se a melhora estética em relação ao início do tratamento, devido à regularização do tamanho dos dentes e fechamento de diastemas.



