INTRODUÇÃO
A Odontologia Estética tem vivenciado avanços significativos, acompanhando a crescente demanda de pacientes que buscam aprimorar a harmonia e a estética de seus sorrisos. As facetas diretas em resina composta representam uma opção versátil, minimamente invasiva e com excelente custo-benefício para a correção de imperfeições, como alterações de forma, cor e textura dos dentes anteriores. Este relato descreve um caso clínico de substituição de facetas insatisfatórias, utilizando as resinas compostas da linha Aura, com o objetivo de alcançar um resultado estético e funcional superior.
AVALIAÇÃO FINAL
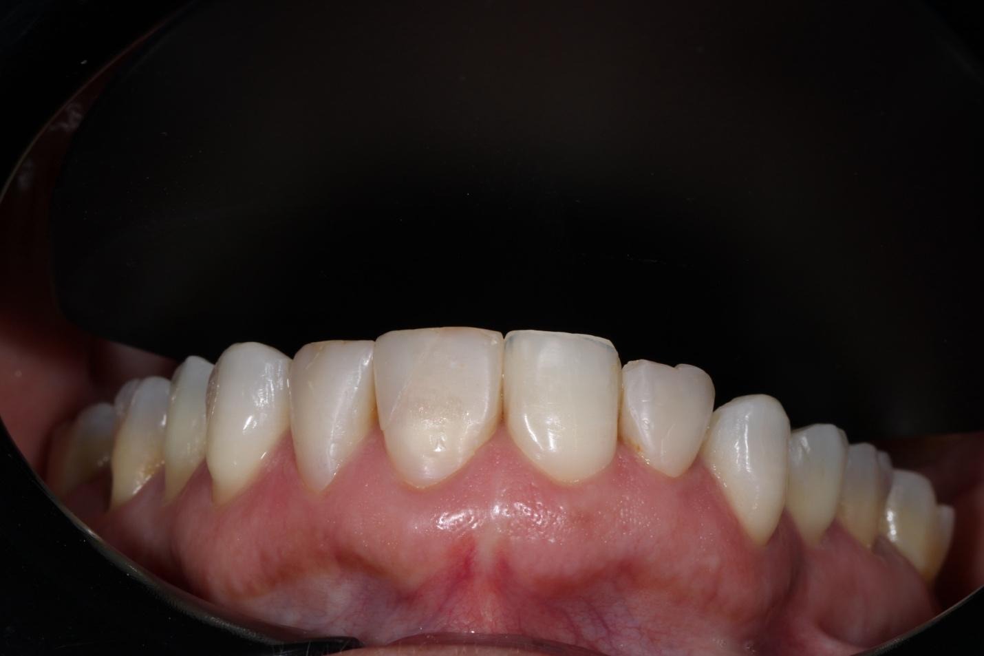
Uma paciente do sexo feminino, 45 anos, compareceu ao consultório odontológico relatando insatisfação com facetas anteriores em resina composta realizadas anteriormente. Segundo a paciente, as restaurações apresentavam coloração amarelada, opacidade excessiva e formato desarmônico, comprometendo a estética do sorriso e sua autoestima. O exame clínico confirmou a presença de facetas com contornos pouco anatômicos e proporções dentárias desproporcionais à face da paciente.
TRATAMENTO EXECUTADO
Após a avaliação e o planejamento estético, optou-se pela remoção das facetas antigas e pela confecção de novas restaurações diretas estratificadas. A paciente foi submetida inicialmente à remoção cuidadosa das resinas compostas preexistentes utilizando pontas diamantadas de granulação fina sob refrigeração abundante, visando preservar ao máximo a estrutura dentária sadia. Em seguida, realizou-se o preparo da superfície com condicionamento ácido seletivo utilizando ácido fosfórico a 37% por 15 segundos em esmalte, seguido da aplicação de um sistema adesivo universal compatível com a técnica adotada, conforme as instruções do fabricante.
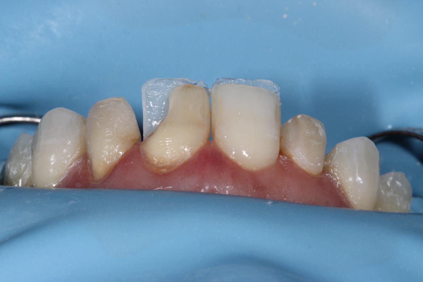
A camada palatina foi então confeccionada manualmente com uma resina de baixa opacidade (translúcida), utilizando uma tira de poliéster para delimitação dos contornos incisal e proximal, conferindo forma e translucidez controlada ao terço incisal. Posteriormente, foi realizada a aplicação da resina Aura Dentine Chroma, cor DC3, com o objetivo de reproduzir os mamelos dentinários e a profundidade cromática da dentina natural. Na sequência, aplicou-se a camada final de esmalte com a resina Aura Enamel, cor E2, inicialmente para confecção das paredes proximais, recriando a anatomia das bordas mesial e distal. Na sequência, foi aplicada a última camada de esmalte na face vestibular, conferindo brilho, translucidez e efeito óptico semelhante ao esmalte dental natural. Após a fotopolimerização completa das camadas, foram realizados ajustes oclusais e proximais, seguidos de acabamento e polimento com discos e borrachas de diferentes granulações, além de pasta de polimento, a fim de obter uma superfície lisa, brilhante e com baixo potencial de acúmulo de biofilme.
RESULTADOS
A paciente demonstrou alta satisfação com o resultado obtido. As novas facetas apresentaram cor harmoniosa, contornos anatômicos, brilho natural e excelente integração com os dentes vizinhos. Não foram relatadas queixas de sensibilidade ou desconforto pós-operatório. O resultado contribuiu significativamente para a melhora da autoestima da paciente.
DISCUSSÃO
A utilização de resinas compostas com propriedades ópticas otimizadas, como a linha Aura da SDI, é determinante para o sucesso estético de restaurações diretas. A técnica de estratificação, quando bem executada, permite mimetizar com precisão as características ópticas do dente natural, especialmente em áreas estéticas.
As resinas Aura contam com um sistema racional de cor baseado em esmalte e dentina, facilitando a seleção e a combinação das camadas, além de possuírem partículas de carga esféricas que contribuem para o brilho e facilidade de polimento. A estratificação adequada, aliada ao planejamento e à técnica meticulosa do operador, garante previsibilidade e longevidade clínica.
Este caso reforça que a substituição de restaurações insatisfatórias pode ser realizada com sucesso quando se utilizam materiais modernos e estratégias adesivas conservadoras, respeitando a biomecânica e a estética dentária.
CONCLUSÃO
A substituição de facetas diretas em resina composta, utilizando a linha Aura da SDI, demonstrou-se eficaz na reabilitação estética de um sorriso comprometido por restaurações insatisfatórias. A escolha de materiais de qualidade, combinada a uma técnica de estratificação precisa e acabamento criterioso, permite alcançar resultados naturais e duradouros, elevando a autoestima e a satisfação do paciente.

Figura 1: Vista inicial do sorriso da paciente, evidenciando a insatisfação estética com as facetas anteriores.

Figura 2: Remoção cuidadosa das restaurações antigas com pontas diamantadas sob refrigeração, preservando ao máximo a estrutura dental.

Figura 3: Aplicação do ácido fosfórico a 37% no esmalte dental, previo à aplicação do sistema adesivo.

Figura 4: Confecção da camada palatina com resina translúcida e auxílio de tira de poliéster para delimitação do contorno incisal dos incisivos centrais superiores.

Figura 5: Aplicação da resina Aura Dentine Chroma, cor DC3, representando os mamelos e a profundidade cromática da dentina natural.

Figura 6: Construção das paredes proximais com resina Aura Enamel, cor E2, para recriar os limites mesial e distal dos incisivos centrais.

Figura 7: Aplicação da camada final vestibular com resina Aura Enamel, cor E2, conferindo forma, brilho e translucidez ao terço vestibular.

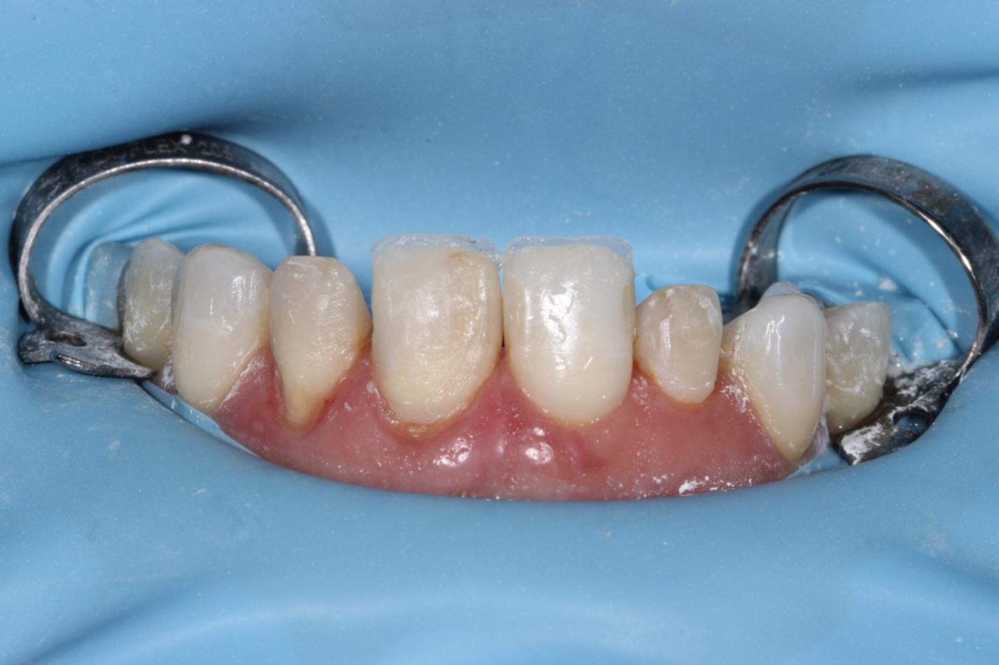
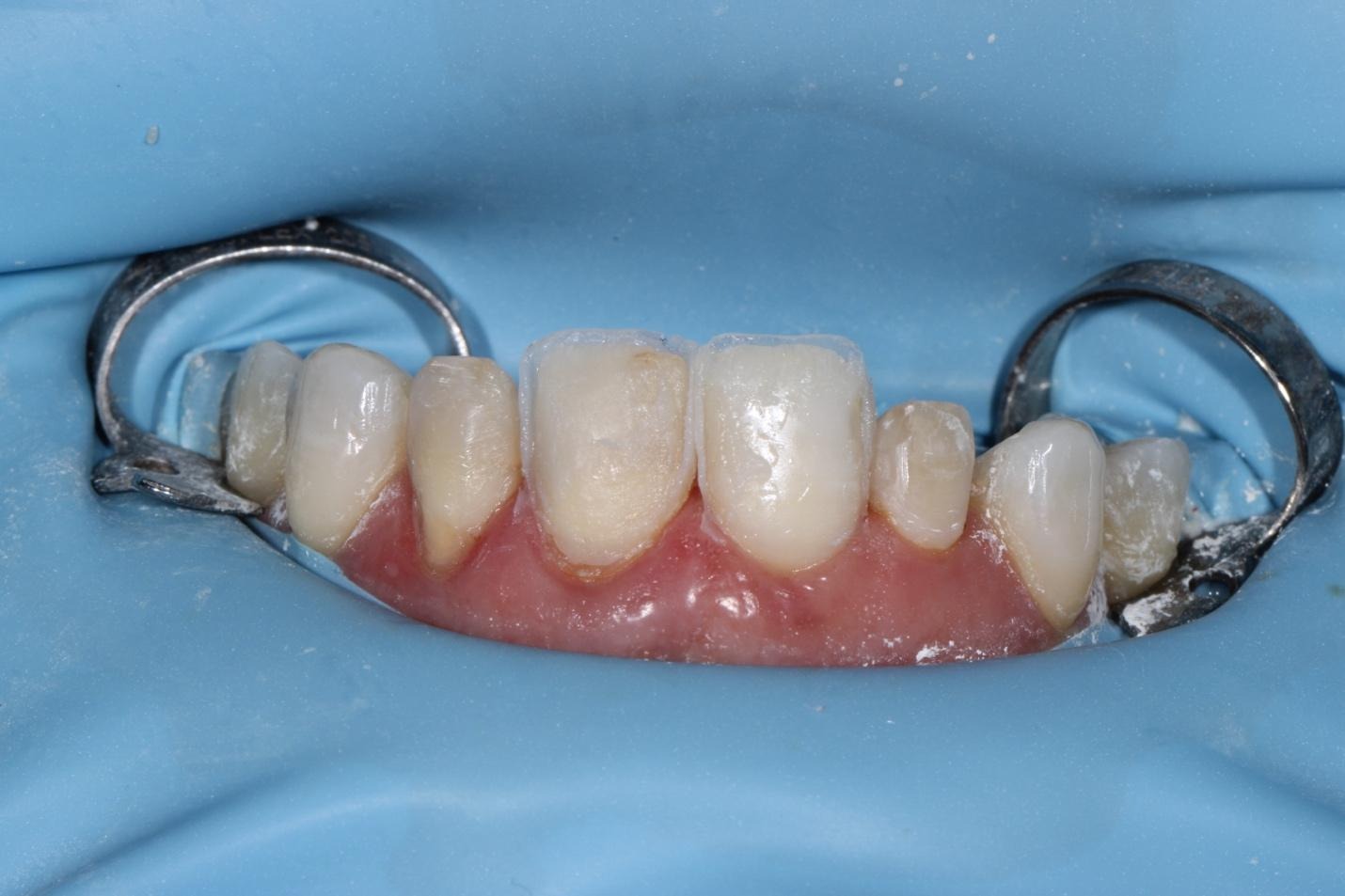
Figura 8: Vista dos incisivos superiores com as restaurações finalizadas, realizadas com a mesma técnica de estratificação multicolor e multicamada.

Figura 9: Sorriso final da paciente, evidenciando a harmonia estética e naturalidade das novas restaurações.

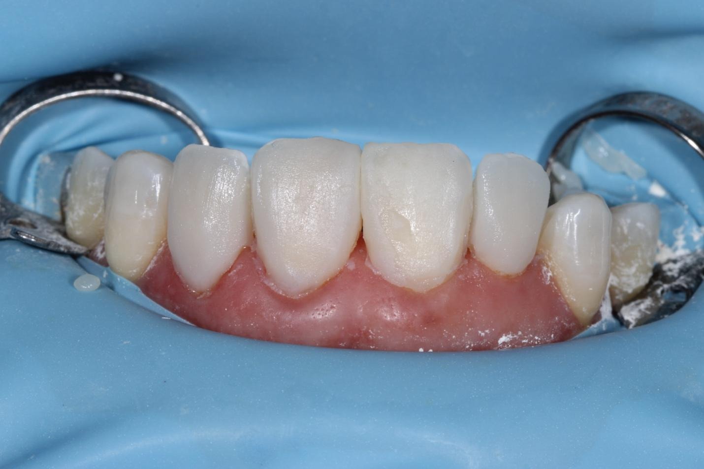
Figura 10: Close-up das restaurações finalizadas, destacando o brilho, textura superficial e integração óptica das resinas com os dentes naturais.
REFERÊNCIAS
- Dietschi D. Layering concepts in anterior composite restorations. J Adhes Dent. 2001;3(1):71–80.
- Ricci WA, Fahl N Jr. Nature-mimicking layering with composite resins through a bio-inspired analysis: 25 years of the polychromatic technique. J Esthet Restor Dent. 2023;35(1):7–18. doi:10.1111/jerd.13021
- Hoeppner MG, Salomão FM, Nakashima FE, Castelani FB, Ferraresso LFO, Kasuya AVB, Besegato JF. Direct resin composite restoration in anterior tooth: 10 years of clinical follow-up. Int J Odontostomat. 2022;16(4):525–531.
- Nahsan FPS, Mondelli RFL, Franco EB, Naufel FS, Ueda JK, Schmitt VL, Baseggio W. Clinical strategies for esthetic excellence in anterior tooth restorations: understanding color and composite resin selection. J Appl Oral Sci. 2012;20(2):151–156. doi:10.1590/S1678-77572012000200005

