INTRODUÇÃO:
A procura estética do sorriso tem se tornado cada vez mais presente em nossos consultórios. Frente a um universo de possibilidades de tratamento, as facetas diretas em resina composta se mostram uma ótima opção conservativa, apresentando vantagens como menor custo, não necessitar de provisórios, relativa facilidade técnica de execução, aceitar reparos, pouco desgaste e sendo realizadas em uma única consulta.
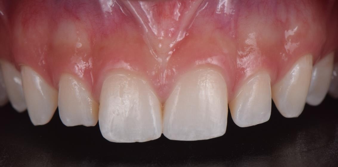
Neste caso, um jovem de 17 anos, chegou a nossa clínica, após finalização ortodôntica, com múltiplos diastemas, desgastes incisais e insatisfação com tamanho dos dentes. Devido a pouca idade e ótima preservação do esmalte dentário, optou-se pela técnica das facetas diretas, para conservar as estruturas sem a necessidade de um desgaste como das facetas cerâmicas.
Optamos pela resina Luna 2 (SDI) por ter ótimas propriedades mecânicas, estética avançada, fácil manuseio, excelente esculpibilidade, com alto grau de opacidade para fazer o bloqueio de fundos escuros assim como um brilho diferenciado após um bom polimento, conferindo naturalidade ao sorriso. Por esse motivo a utilizamos em nosso dia a dia clínico e indicamos em nossos cursos. Não foi realizado nenhum
tipo de desgaste dental, apenas com acréscimo estratégico do material restaurador cobrindo suavemente a vestibular dos dentes anteriores. Foi feito uma estratificação simplificada confeccionando 6 facetas diretas e guia de canino na cor B1, com incrementos de 2 mm e sistema de polimento e acabamento simplificado para finalização das facetas. Nova resina LUNA 2: menos tempo de trabalho, ótimos resultados estéticos, acabamento fantástico
e brilho natural.


Imagem 1 – Aspecto inicial lateral esquerdo.

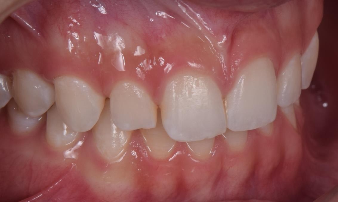
Imagem 2 – Aspecto inicial lateral direito

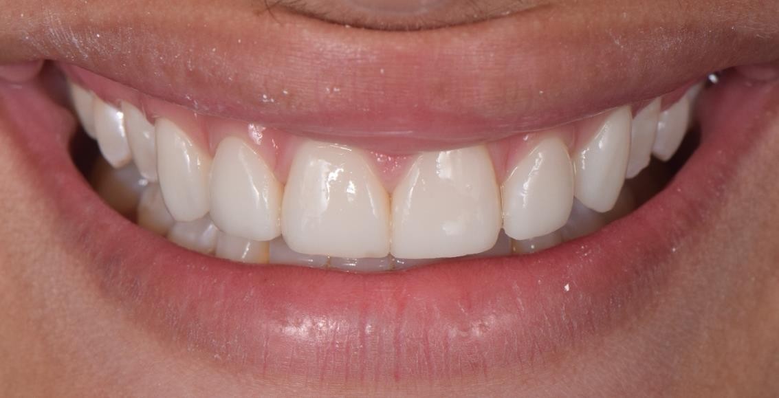
Imagem 3 – Aspecto final frontal

Imagem 4 – Vista final lateral esquerda com guia de canino.

Imagem 5 – Vista final lateral direita com guia de canino.

Imagem 6 – Foto final com a resina utilizada – Luna 2 SDI.

Imagem 7 – Foto final artística com a resina utilizada – Luna 2 SDI.

