INTRODUÇÃO
Paciente do sexo feminino, 36 anos, procurou atendimento clínico no Hospital Odontológico da Faculdade de Odontologia da Universidade Federal de Uberlândia (UFU), relatando a descimentarão e desadaptação de uma coroa previamente instalada no primeiro pré-molar superior direito. Após avaliação clínica e radiográfica indicou-se a confecção de nova coroa de zircônia monolítica.

Figura 1. Vista oclusal e vestibular do segundo pré-molar direito com restauração provisória com resina acrílica; B. preparo coronário insatisfatório, com quantidade de desgaste insuficiente na superfície oclusal, direção de inserção da coroa alterada e término cervical irregular; C. Rx mostrando pino de fibra de vidro e tratamento endodôntico satisfatório.
O procedimento foi executado sob isolamento absoluto. Inicialmente, efetuou-se a reconstrução do núcleo de preenchimento, com o objetivo de reestabelecer forma e resistência garantindo qualidade do preparo coronário para a futura restauração definitiva.

Figura 2. Uso de resina flow para viabilizar acréscimo de estrutura para difinição do preparo cavitário; B. re-preparo realizado com ponta diamantada com término arredondado e conicidade requerida.
Em seguida, o preparo foi escaneado com o scanner intraoral Virtuo Vivo (Straumann, Suíça), e o desenho da coroa foi elaborado no software EXOCAD (Exocad GmbH, Alemanha). O bloco de zircônia foi fresado para obtenção da coroa definitiva monolítica. E a sinterização e caracterização extrínseca foram realizadas resultando e coroa com resistência e estética desejada. A superfície interna da coroa foi jateada com óxido de alumínio de 50 µm, seguido de lavagem e secagem com jato de ar. O preparo foi limpo com pedra pomes e água e seco cuidadosamente.
O cimento resinoso automix autoadesivo dual Set Maxx (SDI, Austrália) foi utilizado para cimentação por apresentar adequada adesão à zircônia promovida pela presença de MDP em sua composição. A ponta misturadora foi inserida na seringa com do cimento, a primeira porção do cimento após a mistura for dispensado, e o cimento foi inserido com a ponta de automistura diretamente no interior da coroa.

Figura 3. (A) Preparo limpo com pedra pomes demostrando espessura, inclinações e desgastes adequados; (B) Seleção do cimento autoadesivo Set Maxx Automix acoplando ponta misturadora; (C) descarte da porção inicial do cimento resinoso após a mistura; (D) Inserção do cimento resinoso Dual Set Maxx (SDI) no interior da coroa de zircônia, utilizando a ponta aplicadora colibri.
Após o posicionamento do conjunto coroa/cimento no preparo coronário, o excesso foi removido e, após o tempo de reação química de cinco minutos, foi realizada a fotoativação com o fotopolimerizador Radii Xpert (SDI).

Figura 4: A. Inserção do conjunto coroa-cimento e remoção dos excessos de cimento com Points; (B). remoção do excesso nas superfícies proximais utilizando fio dental; (C) Após tempo de espera de 5 min, para reação química do material, foi realizada fotoativação do cimento utilizando o fotopolimerizador Radii Xpert (SDI). D Coroa imediatamente após a cimentação.

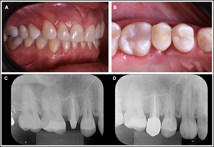
Figura 5. (A) Aspecto final da coroa após os ajustes oclusais e o polimento final; (B) Vista oclusal da coroa finalizada; (C) Rx inicial do paciente com a coroa provisória; (D). Rx final da coroa cerâmica zircônia cimentada com cimento autoadesivo automix Set Maxx (SDI).
Referências
- Mendoza LCL, Peres TS, Estevão IDG, Ribeiro MTH, de Melo C, Carlos HL, Soares CJ. Mechanical properties of dual-polymerizing resin-core material, dual-polymerizing resin cement, and bulk-fill composite resin used for restoring endodontically treated teeth. J Prosthet Dent. 2024;132(6):1326.e1-1326.e9. doi: 10.1016/j.prosdent.2024.08.007.
- de Azevedo MR, Pacheco RR, Qualhato LB, Dolenkei KK, Soares CJ, Raposo LH. Impact of Battery Levels of a Cordless LED Curing Unit on Resin Cement under Varied Lithium Disilicate Thicknesses and Translucencies. Oper Dent. 2024;49(6):704-713. doi: 10.2341/24-018-L.
- Zancopé K, Borges G, Ribeiro M, Miranda RR, Peres TS, Soares CJ. Influence of Mono- and Multiwave Light-curing Units on the Microhardness and Degree of Conversion of Light-cured Resin Cements. Oper Dent. 2023 Nov 1;48(6):711-719. doi: 10.2341/23-039-L. PMID: 37881034.
Autor de correspondência
Prof. Dr. Carlos José Soares
Faculdade de Odontologia
Programa de Pós-Graduação em Odontologia
Coordenador INCT – Saúde Oral e Odontologia
@carlosjsoares1965
